Tannstein: Alt du trenger å vite – og slik unngår du den
Tannstein er et hardt belegg som dannes når plakk forkalkes, og kan føre til både estetiske og alvorlige tannhelseproblemer. Les mer om hvordan tannstein oppstår, og hvorfor det er viktig å fjerne det i tide

Sandor Papp
Tannlege
Publisert: 18.10.2023
Sist endret: 07.01.2026

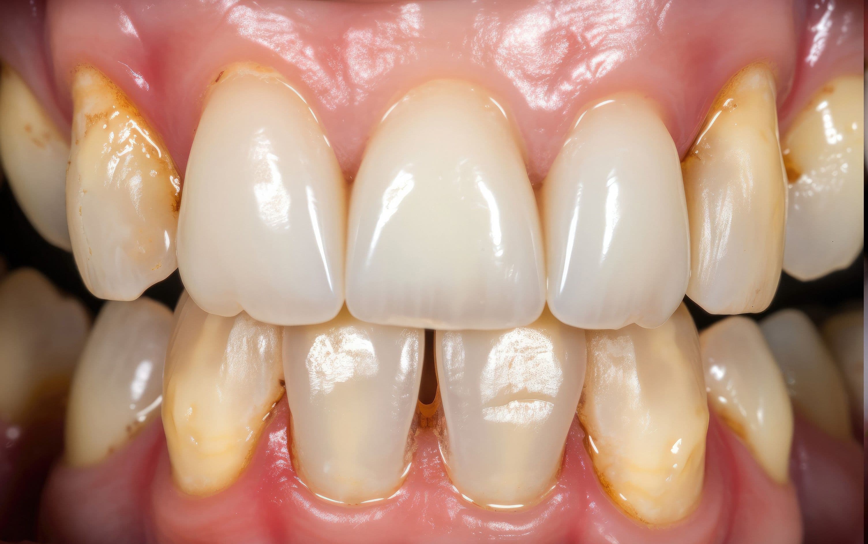
Tannstein er noe de fleste av oss plages med i løpet av livet. Kort forklart er det et hardt belegg som sitter på tennene langs tannkjøttet eller under tannkjøttskanten, spesielt på innsiden av fortennene i underkjeven.
Tannstein oppstår vanligvis fordi bakteriebelegg kalt plakk blir liggende over tid. Når det skjer, forkalkes og forsteines plakket når mineraler i spyttet binder seg til belegget. Overflaten er ru, og derfor kan plakk utvikle seg og bli sittende fast i større grad på disse områdene. Det betyr også at det blir enda vanskeligere å bli kvitt plakk, som igjen fører til mer forsteining.
I tillegg til å påvirke utseendet ditt, ånden din og selvfølelsen, kan det også føre til alvorlige tannhelseproblemer, slik som tannråte og tannkjøttbetennelse.
Hvordan dannes tannstein?
Det kan faktisk skje på et par ulike måter:
- Det kan dannes forsteining på tennene hvis mineraler i spyttet ditt binder seg til plakket.Dette kalles supragingival tannstein, og sitter på tennene over tannkjøttet (gingiva) og er synlig i munnen.
- Salter som kalsium og fosfater i spyttet kan krystallisere seg på tannoverflaten. Dette kalles subgingival tannstein, og sitter på rotoverflaten i tannkjøttlommen. Denne typen er ikke synlig i munnen, men kan oppdages ved røntgen eller ved at tannlegen sonderer med et instrument.
Mens noen av oss får ny tannstein hele tiden, opplever andre at stadig skryt i tannlegestolen for å ikke ha det. Men det er faktisk ikke bare vaner og uvaner som bidrar til dette, og spyttet ditt har også mye å si. Om du er grundig og flink med tannhygiene og jevnlige besøk hos tannlegen din, men likevel får mye tannstein, kan det være andre underliggende årsaker til det. Faktisk vil du se økt dannelse rundt utgangen til spyttkjertlene, nettopp fordi spyttet har en så viktig rolle. Mange oppdager derfor problemene først bak underkjevens fortenner.
Ønsker du å fjerne tannstein? Kontakt oss
Hva er plakk?
Mange tror plakk og tannstein er det samme, men plakk er det myke, klebrige belegget som legger seg på tennene. Det består av bakterier, matrester og spytt. Plakk dannes kontinuerlig på tennene, og må fjernes regelmessig med god munnhygiene. Hvis ikke kan plakk føre til hull i tennene, betennelse i tannkjøttet (gingivitt) eller løse tenner (periodontitt). Når du får tannstein dannes det lettere plakk på tennene.

Derfor får vi tannstein
Kostholdet ditt har stor betydning for både plakk- og tannsteinsdannelsen. Mat og drikke som inneholder mye sukker eller syre kan øke risikoen for hull i tennene, da de gir næring til bakteriene i plakket som produserer syre som bryter ned emaljen. Syre kan også løse opp mineraler i emaljen og gjøre den mer utsatt for slitasje. I tillegg kan mat og drikke som kaffe, vin, tobakk og te gi misfarging av tenner og forsteining over tid.
Munnhygienen din er derfor avgjørende for å forebygge dette. Ved å pusse tennene grundig hver morgen og kveld med fluortannkrem, samt bruke mellomromsbørste eller tanntråd mellom tennene, kan du fjerne mesteparten av plakket før det blir til tannstein.
Bidrar til tannråte og tannkjøttsykdommer
Tannstein er ikke bare et kosmetisk problem, men kan også ha alvorlige konsekvenser for tannhelsen din. Du kan oppleve å få:
- Tannråte (karies): På grunn av den ru overflaten som tiltrekker seg mer plakk, som igjen produserer syre som kan gi hull i tennene. Tannstein kan også gjøre det vanskeligere å pusse tennene skikkelig, slik at plakket får ligge uforstyrret på tennene.
- Tannkjøttbetennelse (gingivitt): Du kan også få irriterte tannkjøtt og inflammasjon som kan bli rødt, hovent og blø ved berøring. Hvis tannkjøttbetennelsen ikke behandles, kan den utvikle seg til periodontitt.
- Løse tenner (periodontitt): Periodontitt er en alvorlig form for tannkjøttbetennelse som angriper både tannkjøttet og det underliggende vevet som holder tennene på plass (periodontiet). Periodontitt kan føre til at tennene løsner eller faller ut.
Bestill time til tannrens!
Misfarging av tenner og dårlig ånde
Ikke minst kan det også påvirke utseendet og ånden din, og også føre til misfarging av tennene. Den dårlige ånden kommer av illeluktende svovelforbindelser som produseres av bakterier.
Hvordan forebygge tannstein?
Det beste du kan gjøre for å forebygge, er å ha god munnhygiene og pusse tennene grundig hver morgen og kveld med fluortannkrem, samt bruke mellomromsbørste eller tanntråd mellom tennene. I tillegg bør du unngå mat og drikke som inneholder mye sukker eller syre, eller som gir misfarging av tenner.
Kan jeg fjerne tannstein selv?
Tannstein kan ikke fjernes med vanlig tannpuss, men må skrapes bort av en tannlege eller en tannpleier med spesialinstrumenter. Dette kalles scaling eller tartarrens. Hvis du har mye subgingival tannstein, kan det være nødvendig med en dypere rens kalt rotplanering, der tannlegen fjerner forsteininger under tannkjøttskanten. Etter at det er fjernet, kan det være lurt å polere tennene for å glatte ut overflaten og gjøre det vanskeligere for plakk å feste seg igjen.
Det anbefales å gå til regelmessige kontroller hos tannlegen eller tannpleieren for å sjekke om du har plakk eller tannstein på tennene dine.


