
Artikkel
01 desember, 2023
Tannkjøttbetennelse: Forebygging, symptomer og behandling

Artikkel
26 oktober, 2023
Kjeveortoped: Hva er en reguleringstannlege?

Artikkel
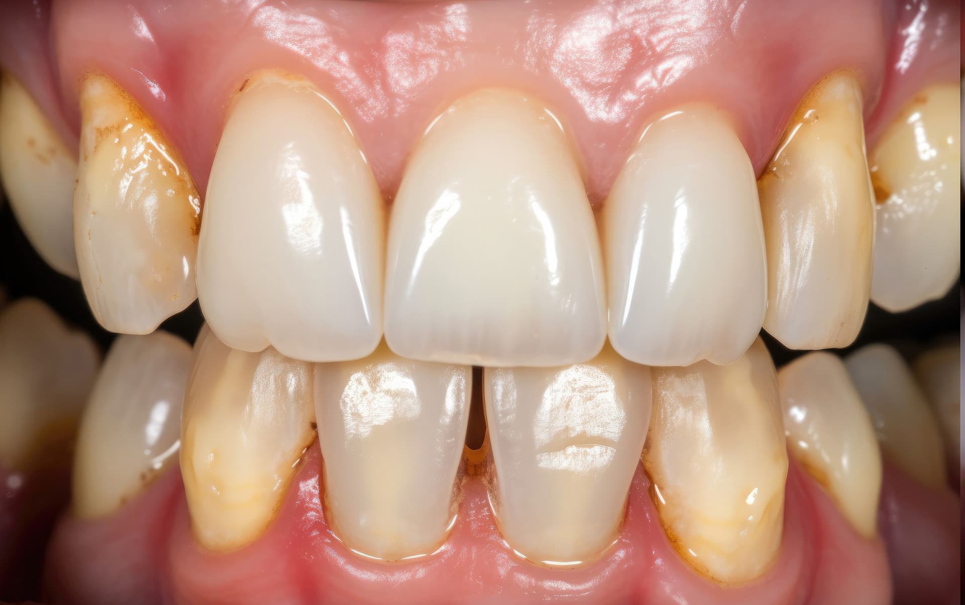
18 oktober, 2023
Tannstein: Alt du trenger å vite – og slik unngår du den

Artikkel
28 september, 2023
Tannbleking – alt du trenger å vite

Artikkel
20 september, 2023
Slik bruker du tanntråd riktig

Artikkel
28 august, 2023
Alt du trenger å vite om kjeveortopedi fra din reguleringstannlege i Oslo

Artikkel
18 august, 2023
Finn den beste tannlegen i Bergen for barnets

Artikkel
28 juli, 2023
Tannlegevakt på Hamar: 8 grunner til at du trenger akutt tannlege
Artikkel
17 juli, 2023
Barnas første besøk hos en tannlege i Trondheim

Artikkel
21 juni, 2023
Betennelse etter fjerning av visdomstann

Artikkel
09 juni, 2023
Rotspissbetennelse i rotfylt tann – dette må du være oppmerksom på

Artikkel
26 mai, 2023